Before
AfterPatient with an overbite
This patient, experiencing an overbite, transformed their smile in 12 months with Invisalign treatment clear aligners.
Our results speak for themselves! Filter by common diagnosis and treatment to see our amazing Ross Orthodontics smile transformations. Select all that apply to explore more results.
Before
AfterThis patient, experiencing an overbite, transformed their smile in 12 months with Invisalign treatment clear aligners.
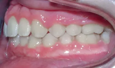
Before
AfterThis patient, experiencing an overbite with generalized upper arch spacing, transformed their smile in 18 months with braces .
Before
AfterThis patient, experiencing anterior openbite and upper arch spacing, transformed their smile in 24 months with Invisalign treatment clear aligners.
Before
AfterThis patient, experiencing excessive overjet, transformed their smile in 24 months with a Herbst appliance and braces.
Before
AfterThis patient, experiencing excessive overjet with generalized upper arch spacing, transformed their smile in 24 months with braces and a Herbst appliance.
Before
AfterThis patient, experiencing excessive overjet with generalized spacing in upper arch, transformed their smile in 24 months with braces and a Herbst appliance.
Before
AfterThis patient, experiencing anterior and posterior openbite, transformed their smile in 22 months with braces .
Before
AfterThis patient, experiencing deepbite, transformed their smile in 21 months with braces .
Elizabeth G.
Everyone at Ross is super friendly and welcoming. They make my treatment time fly by!
Tessa B.
I love everything about Ross Orthodontics, the friendly staff, knowledgeable doctor, and amazing smiles!
Wyatt R.
Dr. Ross and the team provide great service each and every appointment.
Deb T.
The staff was very kind and caring. My favorite part about my treatment was finishing and seeing my results!
Lola T.
The service Ross Orthodontics provides is great! I always enjoyed my visits because the team is wonderful, kind, and helpful.
Jack M.
I love how nice and friendly everyone at Ross Orthodontics is, they made my smile look great!
Noah P.
I love my smile now! My results and the service was excellent.
Patricia R.
My visits were quick, I was never kept waiting, and there was always flexible scheduling that worked for me. Everyone was incredibly friendly and helpful.
Aaliyah B.
I had so much fun picking different colors for my braces each time I came in for an appointment, the team was so friendly.
Jared R.
The staff is incredibly friendly, and I finished treatment with a great smile!
Gabrielle W.
The Ross team answers any questions I have about my treatment, and the employees are so kind.
Vince T.
The patient care at Ross is amazing, and the staff is extremely welcoming and friendly. I love my smile now!
Jill W.
Thanks to Ross Orthodontics I got my straight teeth back! The team was great to work with throughout my treatment.












